Rivera 2937 esquina Pastoriza - Telefono 27071882

Odontología estética


En la sociedad contemporánea altamente competitiva, una apariencia armónica muchas veces significa la diferencia entre el éxito y el fracaso; tanto personal como profesional. Debido al hecho de que la boca esta localizada en uno de los puntos focales de la cara, la sonrisa es uno de los principales aspectos involucrados en el concepto de una apariencia armónica.

Dentro de las restauraciones estéticas hay varios tratamientos que son importantes conocer: Coronas completas y Carillas en porcelana, Incrustaciones en cerómeros y Obturaciones de Resina para dientes anteriores y posteriores.


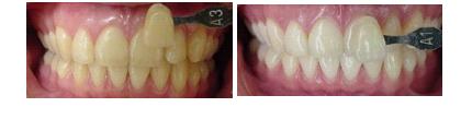
Blanqueamiento dental

Las técnicas de blanqueamiento dental tienen como objetivo la modificación del color del diente respetando sus tejidos (esmalte y dentina). Estas se realizan aplicando geles oxidantes (que liberan oxígeno), que se pueden activar mediante luz o calor, produciendo un efecto blanqueador.

El uso de diferentes técnicas de blanqueamiento dental depende de la vitalidad del diente,   de  las  condiciones   orales  y  de las necesidades  del paciente. Para dientes vitales la aplicación de agentes blanqueadores con luz es utilizada a menudo. Con este  se  consiguen  los  objetivos en un periodo  corto de  tiempo (generalmente 1 sesión, pero a veces  son necesarias   2  sesiones). El blanqueamiento vital con guardas o cubetas   (diurno o  nocturno)  también ofrece tratamientos con éxito. La duración del tratamiento de blanqueamiento dental oscila  entre 2  y  3  semanas y requiere  la participación activa del  paciente durante este  periodo de  tiempo, además  de  controles en la  consulta.

 

 


Inicio | Nosotros | Servicios | Clinica | Noticias | Contacto
arte bucal

ni